נונה שטיינברג מגן יבנה ניצלה משיתוק נדיר בסרעפת הודות לרופאי בית החולים איכילוב ו...רובוט !
נונה שטיינברג בת 64 מגן יבנה לקתה בשיתוק נדיר מאוד של עצם הסרעפת שגם לה לקשיי נשימה. חייה ניצלו הודות לניתוח נדיר אותו עברה בבית החולים איכילוב שתיקן את הסרעפת וביטל את השיתוק. הניתוח התבצע על ידי רופאים מומחים ורובוט ייחודי.
נונה שטיינברג מגן יבנה לא תיארה בחלומותיה הגרועים ביותר כי פעולות פשוטות כגון קימה מכורסא, הליכה לחדר בבית ואפילו התהפכות מצד לצד במיטה יצירכו ממנה הסדרת נשימה בכל פעולה בסיסית של חיי היומיום.
נונה מספרת:"הגעתי לבירורים במחלקה לכירורגית חזה באיכילוב ולאחר סדרת בדיקות שנערה לי, איבחן ד"ר עזאם שרבל כי מדובר בשיתוק נדיר מאוד של עצם הסרעפת אשר גורם לי לקושי בנשימה. המשמעות של שיתוק זה עבורי היתה לחיות כך כל שארית חיי והמחשבה הזו היתה קשה מנשוא. החלטתי לא לוותר. משפחתי ואני התייעצנו עם צוות המחלקה התומך והמקסים שבאיכילוב שהציע לי לעבור ניתוח נדיר מאוד היכול לתקן את הסרעפת ולבטל את השיתוק באמצעות רובוט"
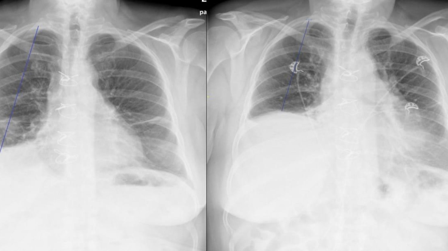
בתמונה: מימין, לפני הניתוח הסרעפת הימנית גבוהה ולאחר הניתוח משמאל הסרעפת במצב תקין

ד"ר מיכאל פאר מנהל מחלקת כירורגיית חזה באיכילוב ומחלוצי תחום ניתוחים פולשניים בגישה רובוטית בישראל מדגיש כי הניתוחים בגישה זו שינו את כללי המשחק :"אם בעבר מטופל היה זקוק לשיקום ארוך לאחר פתיחת חזה בעזרת חתך אמצעי או צדדי הרי שהיום מדובר בניתוח זעיר פולשני עם קיצור שהייה בבית החולים עד 2-3 ימים בלבד".
השבוע, עברה נונה בהצלחה את הניתוח הרובוטי שבו ד"ר עזאם בהנחייתו של ד"ר פאר ובפיקוח צמוד של ד"ר ואדים ניסנביץ- רופא בכיר במערך ההרדמה, הצליחו לקבע את הסרעפת. כבר למחרת הניתוח הצליחה נונה לקום מהמיטה ולערוך הליכה בת כמה דקות ובהמשך השתחררה במצב מצוין להמשך מנוחה בביתה.
מבית החולים איכילוב נמסר:"הרופאים המטפלים באיכילוב מאחלים לנונה רפואה שלמה וחזרה מהירה לתפקוד מלא וגאים בצוות מחלקת ניתוחי חזה על ניתוחים פורצי דרך המבוצעים מידי יום בבית החולים איכילוב למען החולים בישראל".
--------------------
--------------------
אנו מכבדים זכויות יוצרים ועושים מאמץ לאתר את בעלי הזכויות בצילומים שמגיעים לידינו. אם זיהיתם באתר צילום בו אתם בעלי זכויות יוצרים, אתם רשאים לפנות אלינו ולבקש לחדול משימוש בו שלחו למייל : [email protected]
